محصولات
قیمت خوب  آنلاین

جزئیات محصولات

Created with Pixso. خونه Created with Pixso. محصولات Created with Pixso.
زیبایی شناسی بیومیمیتیک دندان
Created with Pixso. مطالعه موردی روکش دندان زیرکونیا | برون‌سپاری آزمایشگاهی جهانی - Joydentalab

مطالعه موردی روکش دندان زیرکونیا | برون‌سپاری آزمایشگاهی جهانی - Joydentalab

نام تجاری: Joydenta
مقدار تولیدی: انعطاف پذیر
زمان تحویل: 4 روز کاری
شرایط پرداخت: T/T پی پال
اطلاعات دقیق
وب سایت جدید:
www.joydenta-lab.com
وب سایت جدید:
https://joydenta-lab.com/en/
جزئیات بسته بندی:
بسته بندی حباب دار با جعبه
قابلیت ارائه:
500 مورد در روز
برجسته کردن:

دندان مصنوعی زیرکونیومی با ظاهر طبیعی,دندان مصنوعی زیرکونیایی,دندان مصنوعی زیرکونیایی برای جایگزینی دندان

,

Dental zirconia false teeth

,

Zirconia dentures for tooth replacement

توضیحات محصول

مطالعه موردی روکش دندان زیرکونیا – برون‌سپاری جهانی ممتاز توسط Joydentalab

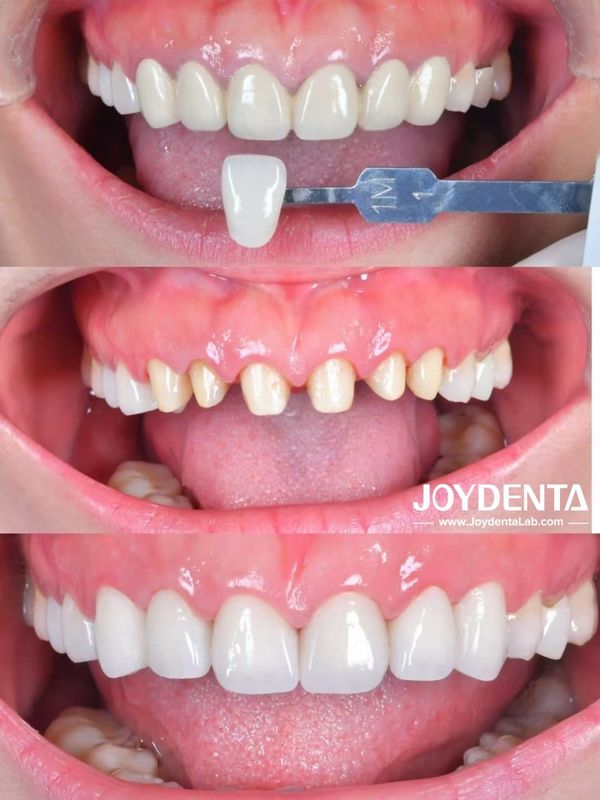
این مورد بالینی، ترمیم ثانویه را برای بیماری ارائه می‌دهد که سال‌ها پیش روکش‌های فلز-سرامیکی دریافت کرده بود. با گذشت زمان، بیمار به دنبال ارتقا به یک راه‌حل طبیعی‌تر، بادوام‌تر و از نظر زیبایی‌شناختی پیشرفته‌تر بود. کلینیک دندانپزشکی، سیستم روکش دندان زیرکونیا تولید شده توسط JOY Dental Lab را انتخاب کرد و نتیجه یک گام روشن به جلو در دقت و عملکرد زیبایی‌شناختی است.

همانطور که در تصاویر نشان داده شده است، تفاوت بین پروتز قدیمی و ترمیم جدید زیرکونیا قابل توجه است. روکش دندان زیرکونیا ارتقا یافته، موارد زیر را ارائه می‌دهد:

  • دقت رنگ و شفافیت بهبود یافته

  • شکل آناتومیکی اصلاح شده که هماهنگ با دندان‌های طبیعی بیمار ادغام می‌شود

  • استحکام و پایداری طولانی‌مدت برتر

  • مواد زیست سازگار مناسب برای بیماران حساس

کلینیک دندانپزشکی و بیمار هر دو از نتیجه نهایی ابراز رضایت کردند. این ترمیم، ظاهری طبیعی و بسیار واقع‌بینانه ارائه می‌دهد و دلیل اینکه چرا زیرکونیا همچنان یکی از قابل اعتمادترین مواد در دندانپزشکی ترمیمی مدرن است را تقویت می‌کند.


چرا آزمایشگاه‌های دندانپزشکی جهانی، JOY Dental Lab را برای ترمیم‌های زیرکونیا انتخاب می‌کنند

به عنوان یک آزمایشگاه دندانپزشکی ممتاز متخصص در برون‌سپاری بین‌المللی، JOY Dental Lab از آزمایشگاه‌های دندانپزشکی در سراسر ایالات متحده، استرالیا و بریتانیا با راه‌حل‌های زیرکونیای با دقت بالا پشتیبانی می‌کند.

مزایای ما عبارتند از:

  • ثبات طراحی دیجیتال از طریق گردش کار CAD/CAM پیشرفته

  • مواد زیرکونیای چند لایه با استحکام بالا

  • زمان چرخش ثابت برای مشتریان جهانی

  • کنترل کیفیت دقیق برای اطمینان از نتایج قابل پیش‌بینی

  • ارتباط حرفه‌ای برای همکاری آزمایشگاهی از راه دور

چه به موارد تک واحدی، بریج‌های زیرکونیای کامل قوس یا ترمیم‌های ایمپلنت نیاز داشته باشید، ما پشتیبانی تولید قابل اعتمادی را متناسب با آزمایشگاه‌های دندانپزشکی جهانی ارائه می‌دهیم.


با یک آزمایشگاه برون‌سپاری جهانی قابل اعتماد شریک شوید

اگر کلینیک یا آزمایشگاه شما به دنبال یک شریک قابل اعتماد برای ساخت روکش دندان زیرکونیا است، JOY Dental Lab دقت تولید، زیبایی‌شناسی طبیعی و خدمات بین‌المللی عالی را ارائه می‌دهد.

ما از آزمایشگاه‌های دندانپزشکی در سراسر جهان استقبال می‌کنیم تا با هم همکاری کنند و نتایج ترمیمی خود را با هنر زیرکونیای با کیفیت بالا ارتقا دهند.

قیمت خوب  آنلاین

جزئیات محصولات

Created with Pixso. خونه Created with Pixso. محصولات Created with Pixso.
زیبایی شناسی بیومیمیتیک دندان
Created with Pixso. مطالعه موردی روکش دندان زیرکونیا | برون‌سپاری آزمایشگاهی جهانی - Joydentalab

مطالعه موردی روکش دندان زیرکونیا | برون‌سپاری آزمایشگاهی جهانی - Joydentalab

نام تجاری: Joydenta
مقدار تولیدی: انعطاف پذیر
جزئیات بسته بندی: بسته بندی حباب دار با جعبه
شرایط پرداخت: T/T پی پال
اطلاعات دقیق
نام تجاری:
Joydenta
وب سایت جدید:
www.joydenta-lab.com
وب سایت جدید:
https://joydenta-lab.com/en/
مقدار حداقل تعداد سفارش:
انعطاف پذیر
جزئیات بسته بندی:
بسته بندی حباب دار با جعبه
زمان تحویل:
4 روز کاری
شرایط پرداخت:
T/T پی پال
قابلیت ارائه:
500 مورد در روز
برجسته کردن:

دندان مصنوعی زیرکونیومی با ظاهر طبیعی,دندان مصنوعی زیرکونیایی,دندان مصنوعی زیرکونیایی برای جایگزینی دندان

,

Dental zirconia false teeth

,

Zirconia dentures for tooth replacement

توضیحات محصول

مطالعه موردی روکش دندان زیرکونیا – برون‌سپاری جهانی ممتاز توسط Joydentalab

این مورد بالینی، ترمیم ثانویه را برای بیماری ارائه می‌دهد که سال‌ها پیش روکش‌های فلز-سرامیکی دریافت کرده بود. با گذشت زمان، بیمار به دنبال ارتقا به یک راه‌حل طبیعی‌تر، بادوام‌تر و از نظر زیبایی‌شناختی پیشرفته‌تر بود. کلینیک دندانپزشکی، سیستم روکش دندان زیرکونیا تولید شده توسط JOY Dental Lab را انتخاب کرد و نتیجه یک گام روشن به جلو در دقت و عملکرد زیبایی‌شناختی است.

همانطور که در تصاویر نشان داده شده است، تفاوت بین پروتز قدیمی و ترمیم جدید زیرکونیا قابل توجه است. روکش دندان زیرکونیا ارتقا یافته، موارد زیر را ارائه می‌دهد:

  • دقت رنگ و شفافیت بهبود یافته

  • شکل آناتومیکی اصلاح شده که هماهنگ با دندان‌های طبیعی بیمار ادغام می‌شود

  • استحکام و پایداری طولانی‌مدت برتر

  • مواد زیست سازگار مناسب برای بیماران حساس

کلینیک دندانپزشکی و بیمار هر دو از نتیجه نهایی ابراز رضایت کردند. این ترمیم، ظاهری طبیعی و بسیار واقع‌بینانه ارائه می‌دهد و دلیل اینکه چرا زیرکونیا همچنان یکی از قابل اعتمادترین مواد در دندانپزشکی ترمیمی مدرن است را تقویت می‌کند.


چرا آزمایشگاه‌های دندانپزشکی جهانی، JOY Dental Lab را برای ترمیم‌های زیرکونیا انتخاب می‌کنند

به عنوان یک آزمایشگاه دندانپزشکی ممتاز متخصص در برون‌سپاری بین‌المللی، JOY Dental Lab از آزمایشگاه‌های دندانپزشکی در سراسر ایالات متحده، استرالیا و بریتانیا با راه‌حل‌های زیرکونیای با دقت بالا پشتیبانی می‌کند.

مزایای ما عبارتند از:

  • ثبات طراحی دیجیتال از طریق گردش کار CAD/CAM پیشرفته

  • مواد زیرکونیای چند لایه با استحکام بالا

  • زمان چرخش ثابت برای مشتریان جهانی

  • کنترل کیفیت دقیق برای اطمینان از نتایج قابل پیش‌بینی

  • ارتباط حرفه‌ای برای همکاری آزمایشگاهی از راه دور

چه به موارد تک واحدی، بریج‌های زیرکونیای کامل قوس یا ترمیم‌های ایمپلنت نیاز داشته باشید، ما پشتیبانی تولید قابل اعتمادی را متناسب با آزمایشگاه‌های دندانپزشکی جهانی ارائه می‌دهیم.


با یک آزمایشگاه برون‌سپاری جهانی قابل اعتماد شریک شوید

اگر کلینیک یا آزمایشگاه شما به دنبال یک شریک قابل اعتماد برای ساخت روکش دندان زیرکونیا است، JOY Dental Lab دقت تولید، زیبایی‌شناسی طبیعی و خدمات بین‌المللی عالی را ارائه می‌دهد.

ما از آزمایشگاه‌های دندانپزشکی در سراسر جهان استقبال می‌کنیم تا با هم همکاری کنند و نتایج ترمیمی خود را با هنر زیرکونیای با کیفیت بالا ارتقا دهند.